Teeth Whitening/Bleaching
Overview
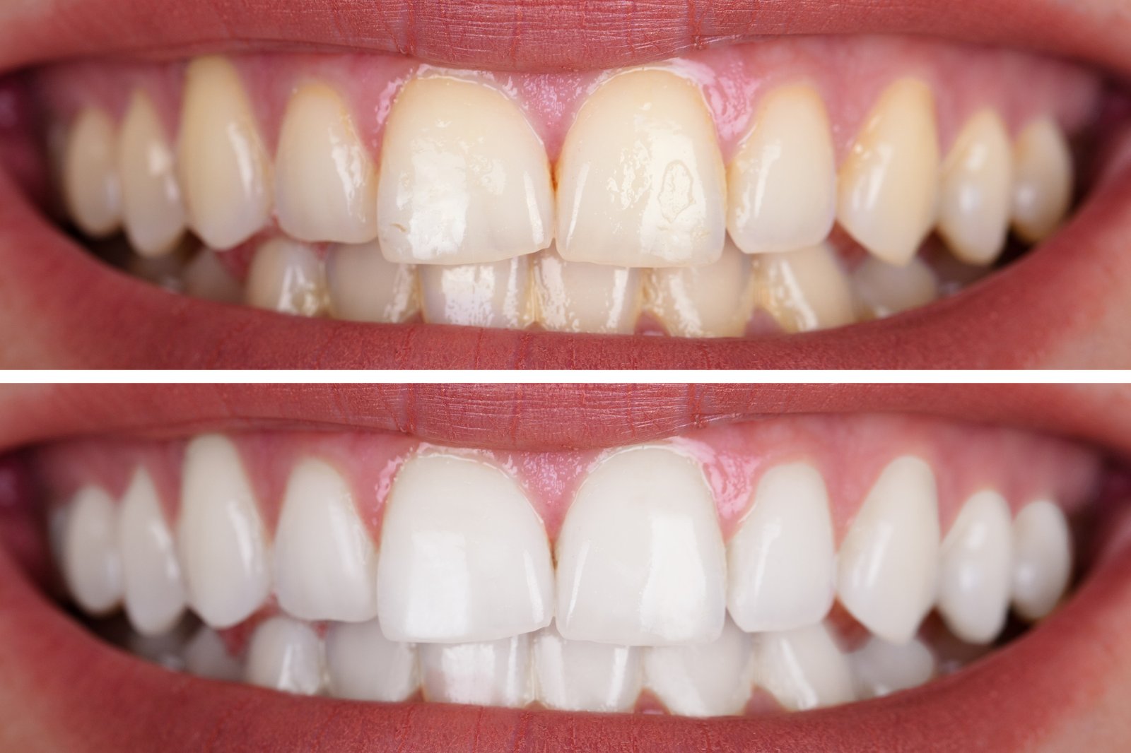
At Smile Dentistry on Tomken, we offer a remarkable dental solution – our Teeth Brightening service. This cosmetic procedure, alternatively referred to as teeth bleaching, aims to enhance the shade of your teeth while eliminating any unsightly stains or discoloration. Renowned for its effectiveness, this treatment has gained significant popularity in helping individuals achieve a more luminous and captivating smile.
Factors to Consider:
Considering teeth whitening at Smile Dentistry on Tomken involves several crucial factors
Prior to embarking on a teeth whitening journey, a thorough oral examination becomes paramount. This step enables the evaluation of your oral health, determining the appropriateness of teeth whitening for your specific case. Any existing dental issues such as cavities, gum disease, or tooth sensitivity would need to be managed before commencing the whitening process.
The efficacy of teeth whitening is notably effective against specific types of stains like those arising from dietary choices, beverages, smoking, or the natural aging process. Intrinsic stains triggered by factors such as tooth trauma or particular medications may not respond as favorably to whitening. Our adept dental professionals can analyze the stain’s origin and prescribe the optimal course of treatment.
Teeth sensitivity is a common occurrence following teeth whitening procedures. Smile Dentistry on Tomken prioritizes your comfort, offering guidance to mitigate sensitivity both during and after treatment. Adhering to their recommendations and utilizing suggested desensitizing products stands imperative.
It’s imperative to recognize that teeth whitening delivers results that are not everlasting. Over time, the effects can diminish. To prolong the radiance of your smile, diligent adherence to sound oral hygiene practices is pivotal. Steering clear of or minimizing consumption of staining agents and arranging regular dental cleanings are vital steps in upholding your whitening results.
Procedure Practise
Our dentists evaluate your teeth and gums to ensure whitening is suitable, recording your current shade.
For at-home: We take impressions to make custom trays.
At-home: You use the gel-filled trays daily for several weeks.
Procedure and Process Treatment
We start with a friendly consultation to understand your needs and assess your dental health.
From cleanings to advanced procedures, we use the latest tech to treat you with comfort.
We check in, offer guidance, and ensure your smile stays strong and confident.